With the development of manufacturing technology as well as changes in implant materials, personalized dental implants are increasingly being widely applied. Among these, the Digital Customized Technology personalized implant solution is considered the implant solution with the most advantages.


What is the Digital Customized Technology dental implant solution?
The personalized dental implant solution, also known as digital-based dental implantation (Digital Customized Technics), is a modern dental implant solution based on digital technology and CAD/CAM manufacturing technology, 3D printing, to create personalized implant teeth tailored to each tooth and each individual patient.
Personalized dental implantation is based on a complex technology system: precise implant placement into the jawbone through a surgical guide template (Guideline), anatomical gingival shaping using Healing Customized, the use of individualized prosthetic abutments (Customized Abutment) designed for each specific tooth, and multilayer full-ceramic crowns (3D Pro ML) manufactured using CAD/CAM technology.
The Digital Customized Technology personalized dental implant solution was developed thanks to the application of virtual reality technology, 3D printing manufacturing technology, CAD/CAM CNC technology, and molecular electrophoretic Zirconium material manufacturing technology.
Why should you choose personalized dental implants?
DCT is considered the best dental implant solution today thanks to the following 5 advantages:
Advantage 1: Safety.
The safety level of the personalized implant solution is evaluated from four aspects:
First safety advantage: Extremely safe implant placement.
By applying the Guideline surgical guide template for drilling and implant placement, the drill follows the exact planned trajectory, avoiding invasion of anatomical structures and preventing deviation. The implant fixture is positioned precisely in three-dimensional space within the jawbone.


Second safety advantage: Re-establishing the biological width, ensuring safety for periodontal tissue, alveolar bone, and the implant fixture below.
- When applying the DCT implant solution, the anatomically customized healing abutment plays a role in reconstructing the morphology and structure of the periodontal tissues, stimulating the formation of stratified epithelium and laying the foundation for biological width re-establishment. The customized prosthetic abutment supports periodontal tissues and establishes biological adhesion between the gingiva and the abutment, stabilizing periodontal tissues and creating a sustainable biological width. This prevents bacterial invasion and destruction from the oral environment to deeper structures.
- Comparison of biological width between natural teeth and implant teeth.
- Comparison of biological width between prefabricated abutments and customized abutments.




Comparison of biologic width between a prefabricated stock abutment and a customized abutment.
Third safety advantage: No wear, no trauma, and reduced wear of opposing teeth.
The multilayer metal-free ML ceramic crown used in the personalized implant solution has variable hardness similar to natural teeth. Its occlusal wear resistance matches natural teeth, neither too hard nor too soft, therefore it does not cause wear or trauma to opposing teeth like conventional ceramic crowns, which are often harder than natural teeth and may cause wear and trauma after a period of mastication.
Safety Aspect 4: Paramagnetic Properties.
The materials are non-magnetic and do not cause interference; therefore, they do not require removal during Magnetic Resonance Imaging (MRI) screening of the head and neck region.
Advantage 2: Aesthetics.
The aesthetics of the personalized implant technique can be viewed from two perspectives.
First aesthetic advantage: Optimal gingival and periodontal aesthetics.
Using Healing Customized to shape and reconstruct periodontal tissue, together with Customized Abutment for contouring, allows the personalized implant tooth to have gingival contours that mimic natural teeth, providing superior “pink aesthetics” compared to traditional implant restorations.




Second aesthetic advantage: Natural tooth color and morphology with long-lasting color stability.
Instead of using layered porcelain and staining as in previous all-ceramic crowns, 3D Pro ML uses pre-configured color parameters arranged at the molecular layer level, resulting in extremely high color stability and color effects that closely resemble natural teeth.
Advantage 3: Excellent chewing function.
Precise implant placement along the correct force axis, individually designed abutments to counter unfavorable forces, and the cutting and grinding efficiency of 3D Pro ceramic crowns provide personalized implant teeth with excellent chewing capability, restoring up to 96.5% of the chewing efficiency of healthy natural teeth.
Advantage 4: Durability.
Thanks to precise implant placement, biological barrier establishment by the prosthetic abutment, and high-strength ceramic crowns, personalized implant teeth have very high durability. When combined with proper care and hygiene, DCT personalized implants often have a lifetime longevity.
Advantage 5: Comfort and stability during use.
Although implants cannot fully replicate the sensory perception of natural teeth, reconstructing periodontal tissue partially improves sensory feedback, helping patients chew more naturally. In particular, with DCT, personalized implant teeth do not cause food impaction or food trapping, providing comfort during chewing.
How is the Digital Customized Technology dental implant solution performed?
Clinically, the Digital Customized Technology customized implant placement is performed through the following 4 steps:
Step 1: Implant placement using a surgical guide.
Instead of using the freehand technique based on clinical experience, the personalized implant solution uses a surgical guide template to ensure the most accurate implant placement.






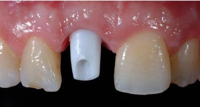
Step 2: Placement of customized healing abutment to shape periodontal tissue.
The customized healing abutment is usually placed immediately during implant placement. In some cases where there is insufficient bone or gingival volume, Healing Customized may be placed after 2 months, once the implant has integrated.


Step 3: Scanning periodontal tissue, occlusion, and implant position to fabricate customized abutment and crown.
Scanning is performed after the implant has integrated and stabilized, usually 2 months after implant placement.
Unlike traditional implant methods that use manual impressions, personalized implants use scanning technology for impression taking. This technology not only accurately records the implant position but also precisely captures the morphology and structure of periodontal tissues and the patient’s occlusion to transfer into virtual design software.


Step 4: Placement of the customized abutment and fixation of the ceramic crown.
After scanning, the data is sent to the design center for simulation. The customized abutment is manufactured there and then placed intraorally. The abutment is designed to fit precisely with the periodontal tissue structure.






Technological features of the personalized dental implant solution
The personalized implant solution consists of a complex technological system developed toward personalization, safety, durability, and aesthetics with four outstanding features:
Feature 1: Precise implant placement within the jawbone in all 3 dimensions using the Guideline surgical guide.
Within the jawbone are dangerous anatomical structures such as the inferior alveolar nerve canal or the maxillary sinus that must not be damaged during implant surgery. Moreover, for an implant tooth to function well in mastication, the implant must be placed in the correct position and force axis.
When applying the personalized implant solution, the dentist uses Guideline technology to place the implant. Guideline enables precise implant positioning in three-dimensional space within the jawbone, making the surgery safer, improving chewing function, and enhancing long-term stability.
Feature 2: Reconstruction of gingiva and periodontal tissues according to anatomical standards using Healing Customized.
Periodontal tissue surrounding the tooth is extremely important. Biologically, periodontal tissue connects to the tooth through ligaments and junctional epithelium, forming a biological barrier that prevents bacteria from penetrating deeper. Aesthetically, periodontal tissue creates soft curved contours (known as pink aesthetics), contributing to the uniqueness of each person’s smile.
When a tooth is lost, the surrounding periodontal tissue collapses. With older methods using prefabricated abutments, it is very difficult to regenerate periodontal tissue.
With the personalized implant solution, the healing abutment is custom manufactured by simulating the ideal periodontal morphology for each tooth and each patient. Regenerating periodontal tissue according to anatomical standards helps future implant teeth appear more aesthetic, more biological, and more natural in function.


Feature 3: Reconstruction of the tooth crown according to anatomical standards using Customized Abutment.
The tooth crown not only transmits chewing forces and sensory feedback but also stabilizes the periodontal tissues. To optimize force transmission, crown shapes vary greatly between anterior and posterior teeth, as well as between upper and lower molars.
In traditional implant methods, prefabricated abutments with a single cylindrical shape and round cross-section are used. These differ significantly from the morphology of natural crowns and therefore cannot create ideal crown contours or fully perform the role of a natural crown.
Digital Customized Technology uses Customized Abutments that are individually manufactured to match the ideal anatomical morphology of each tooth and each person. Customized Abutments replicate the ideal crown morphology, providing strong support for periodontal tissues, optimal force transmission, and, thanks to advanced materials, allow the gingiva to directly attach to the abutment surface, creating a biological barrier that prevents bacteria from penetrating deeper structures.




Feature 4: Reconstruction of tooth enamel using multilayer electrophoretic ceramic crowns (3D Pro ML).
3D Pro ceramic crowns have a biological structure similar to natural teeth. They have variable hardness—softer on the occlusal surface and harder near the cervical region—similar to natural teeth. This helps prevent wear of opposing natural teeth during chewing, a property unique to multilayer ML ceramic crowns.
Additionally, 3D Pro ceramic crowns also have color gradients similar to natural teeth and are paramagnetic materials, allowing MRI scans without interference.


Technical procedure of personalized implant placement
One disadvantage of the Digital Customized Technology solution is that the number of visits is slightly higher than with older technology. Instead of 3–4 appointments, patients will need 4–5 visits with a technical process consisting of the following 7 steps:
Step 1: Data acquisition, treatment planning, and guideline production.
At this stage, the dentist performs CBCT imaging and dental scanning. These data are imported into Exocad for treatment planning: implant position and angulation are precisely calculated based on Exocad force analysis. After determining the correct implant position, a surgical guide template is produced to ensure precise placement.
At this stage, periodontal tissues are also virtually reconstructed in their ideal state, and a customized anatomical healing abutment is produced along with the guide.
Step 2: Implant placement.
Once the guide and healing abutment are manufactured, the patient will be scheduled for surgery. Thanks to the guide, implant placement with Digital Customized Technology is usually quick and gentle. This is the second appointment, typically about 3 days (36 hours) after the first appointment.
Step 3: Placement of the customized healing abutment.
The customized healing abutment may be placed immediately after implant placement (in most cases) or during a second stage once the implant is stable. If placed in the second stage, another appointment will be required, typically 2–4 months after implant placement depending on the implant type.
Most cases have the healing abutment placed during implant surgery, which is an advantage of the solution because it reduces the number of surgical procedures.


Step 4: Scanning the implant position, periodontal tissue, and occlusion.
After the implant has integrated and stabilized (2–4 months), the patient returns to the clinic where scanning technology is used to capture the entire oral structure.
It should be noted that manual impression methods are not considered personalized implant solutions because they cannot accurately copy not only the teeth but also periodontal tissues, occlusion, and implant position. Therefore scanning technology is mandatory.
Step 5: Design of the customized abutment and ceramic crown.
The scanning data are again imported into Exocad. Combined with pre-treatment anthropometric data, a customized abutment and ceramic crown are designed based on ideal periodontal tissues, facial features, and dental arch of each individual, ensuring harmony in aesthetics, occlusion, and periodontal biology.
Step 6: Manufacturing the customized abutment and ceramic crown.
After design completion, the data are transferred to the manufacturing department (CAM department) to produce the customized abutment and ceramic crown.
All abutments are manufactured from pure titanium or monolithic zirconia using Computer Aided Manufacturing (CAM) technology, and the crowns are produced from multilayer monolithic zirconia.
Step 7: Placement of the customized abutment and ceramic crown.
OAfter manufacturing, the abutment and crown are returned to the clinic. The dentist schedules the patient for placement of the customized abutment and ceramic crown.
This is the fifth appointment and usually occurs about 5 days after the scanning appointment.
In summary:
Digital Customized Technology is currently the best personalized dental implant solution, however not every dental clinic is capable of performing it.
Related reading for international patients
If you are comparing treatment options, you may also find these guides helpful: Advanced Dental Implant Technologies at Lạc Việt Intech, What is All-on-X? Why international patients choose all on 4 dental implants Vietnam at Lac Viet Intech and Dental Implant Vietnam: The Complete Guide for International Patients Seeking Safe and Long-Lasting Treatment.
FAQ
What is a customized dental implant?
A customized dental implant is an advanced implant solution that uses digital technology, CAD/CAM fabrication, and 3D printing to design personalized implant restorations tailored to each patient’s anatomy and tooth structure.
How is a customized implant different from traditional implants?
Traditional implants often use prefabricated stock abutments, while customized implants use individualized healing abutments and customized abutments designed digitally for each tooth, improving precision, aesthetics, and tissue stability.
Is the Digital Customized Technology (DCT) implant safe?
Yes. The DCT implant technique uses a surgical guide to ensure highly accurate implant placement, reducing the risk of damaging anatomical structures and improving surgical safety.
How long does a customized dental implant last?
With proper oral hygiene and regular dental check-ups, customized dental implants can last for decades and often provide lifetime function.
How many visits are required for customized implant treatment?
Typically, customized implant treatment requires 4–5 dental visits, including diagnosis, implant placement, scanning, prosthetic fabrication, and final crown delivery.
What materials are used in customized implant restorations?
Customized implant restorations commonly use titanium or zirconia abutments combined with multilayer zirconia ceramic crowns, which provide durability and natural tooth-like aesthetics.
Are customized dental implants more aesthetic?
Yes. Customized implants reconstruct the gingival contour and crown anatomy according to natural tooth morphology, resulting in superior pink aesthetics and natural tooth appearance.
Can customized implants improve chewing ability?
Yes. Because the implant position and prosthetic components are digitally designed according to force distribution, customized implants can restore up to 96.5% of natural chewing efficiency.

Pingback: How Are Dental Implants Placed When Multiple Teeth Are Missing?
Pingback: What Makes a Dental Clinic the “Best” in Vietnam?
Pingback: 5 Risks of Choosing Vietnam for Dental Implants
Pingback: 5 Criteria for Safe Dental Implant Treatment in Vietnam
Pingback: Dental Implant Vietnam: Complete Guide for International Patients
Pingback: What Are Dental Implants? Structure, Process & Risks Explained
Pingback: Dental Implants in Vietnam: 6 Things International Patients Should Understand First
Pingback: Dental Implant Cost in Vietnam: How Much Does It Really Cost? - Lac Viet Intech Dental Center
Pingback: Customized Anatomic Healing Abutments: A New Trend in Dental Implantology
Pingback: What Affects Dental Implant Cost in Vietnam? Doctor,Technology...