Customized anatomical abutments (customized abutments) and what you need to know

The advent of the customized abutment represents a significant leap forward in dental implant technology, serving as the final link to achieving perfection in implant dentistry. An implant fixture correctly positioned within the jawbone, combined with a customized zirconia abutment and a 3D Pro Multilayer zirconia ceramic crown, creates an implant restoration that perfectly mimics a natural tooth in terms of aesthetics, function, and durability.

1. What is a customized anatomical abutment?

A customized anatomical abutment, professionally termed a Customized Abutment, is a type of implant-supported abutment that is individually manufactured according to the specific tooth and gingival anatomy of each patient. This provides maximal aesthetic, functional, and biological compatibility for the implant restoration, resulting in improved aesthetics, masticatory function, and long-term stability.

Customized anatomical abutments made of Zirconia (white) and Titanium (dark).

The development of the customized abutment is the integration of four technologies: Ultra Intraoral Scanning, Exocad 3D virtual reconstruction, 5-axis CAD/CAM, and multilayer zirconia material fabrication technology.

2. How does a customized anatomical abutment differ from other types of abutments?

Differences in anatomical morphology:

  • Customized anatomical abutments possess a morphology similar to the patient’s natural tooth crown; the contoured margin structure follows the gingival margin of each specific tooth and individual patient, with the diameter and length distinctly designed for each person and individual tooth.
  • Prefabricated (stock) abutments (both cement-retained and screw-retained) feature only a single circular morphological shape and are available only in a limited number of predetermined dimensions.
Morphological differences between the two generations of abutments.

Differences in fabrication materials:

  • Customized anatomical abutments are exclusively manufactured from pure titanium or full-contour Zirconia.
  • Stock abutments can be manufactured from titanium or stainless steel, but are not made from zirconia ceramic.

Differences in fabrication technology:

  • Customized anatomical abutments are manufactured using CAD/CAM technology.
  • Stock abutments are manufactured using melting-sintering and precision casting technologies.

Differences in functionality:

  • Customized anatomical abutments function not only to establish gingival anatomy but also to create a biologic seal protecting the implant, as well as bearing masticatory forces.
  • Stock abutments only function to bear masticatory forces (mechanical function); they lack the ability to contour the gingiva and cannot establish a biologic width. Consequently, when placing an implant and utilizing an older-style abutment, there will be 2mm of physiologic bone resorption around the implant neck to establish the biologic width, meaning the biologic width will reside on the implant fixture rather than the abutment.
Differing clinical outcomes between the two generations of abutments (compared to a natural tooth). (Image Text Translation: Thân răng thật -> Natural tooth crown; Trụ phục hình sản xuất sẵn -> Stock abutment; Customized Abutment -> Customized Abutment)

These specific differences lead to disparities in treatment efficacy when utilizing the two aforementioned generations of abutments.

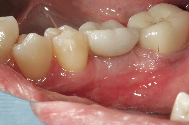
A case utilizing a stock abutment with a narrow emergence profile at the cervical area; the gingiva is not sufficiently contoured, resulting in poor aesthetics and food impaction.
The outcome after replacement with a customized anatomical abutment.

3. How is a Customized Abutment fabricated?

Unlike prefabricated stock abutments that are mass-produced in advance, a Customized Abutment is manufactured after the implant fixture is placed into the jawbone. It is computationally designed and fabricated to reconstruct the peri-implant gingiva according to the exact anatomical standards of each specific tooth and individual patient.

The Customized Abutment is fabricated through the following 5 steps:

Step 1: Data acquisition of the gingiva and teeth using Intraoral Scanning technology:

  • Ultra Intraoral Scanning is a data acquisition technology based on infrared light.
  • To enable the reconstruction of gingival tissue, once the implant placed in the jawbone has osseointegrated, the clinician will uncover the implant and attach a positioning device called a scan body to the implant fixture. Subsequently, the clinician will use an intraoral scanner to capture all data, including the teeth, gingiva, and implant (via the scan body).

Step 2: Reconstruction of gingival anatomy using Exocad:

  • Upon tooth loss, the gingiva will undergo progressive recession and shrinkage over time.
  • When utilizing customized workflows, the gingival data from the intraoral scan is imported into Exocad. Here, the gingival structure undergoes a 3D virtual reconstruction to achieve optimal regeneration of the gingival tissue in three dimensions, including: reconstructing the gingival emergence profile (buccolingual dimension), reconstructing the interdental papillae (mesiodistal dimension), and reconstructing the gingival margin (vertical dimension).

Step 3: Design of the customized anatomical abutment based on the ideal gingival anatomical data in Exocad:

  • Once a perfect gingival architecture is designed across all three dimensions, a customized abutment will be designed to match this ideal gingival anatomical structure.
  • The abutment is manufactured to the most suitable morphology, functioning to contour the gingiva according to the ideal shape designed in Exocad.
  • In complex cases, the gingival contouring process may necessitate an indirect intermediate step: prior to designing the definitive customized abutment, the clinician will design a shaping abutment called an Anatomic Healing Abutment. This serves to contour the gingiva according to the design before the fabrication of the final anatomical abutment.

Step 4: Fabrication of the customized anatomical abutment utilizing 5-axis CAD/CAM technology:

  • Once the abutment has been individually designed corresponding to the ideal gingival anatomy in Exocad, the data is transferred for manufacturing via CAD/CAM technology.
  • Unlike standard CAD/CAM technology used for manufacturing ceramic crowns, the CAD/CAM system used to manufacture Customized Abutments is a 5-axis type (capable of rotating in 5 spatial dimensions), representing the most advanced robotic milling technology currently available.
  • Two types of materials are utilized for manufacturing Customized Abutments: pure titanium or multilayer zirconia.

Pure titanium fabrication: From solid cylindrical titanium blanks (referred to as Premilled blanks), the CAD/CAM milling machine mills them into the customized abutments designed in Exocad.

A pure titanium premilled blank used for manufacturing titanium customized abutments.
A titanium customized anatomical abutment post-fabrication.
  • Fabrication from Multilayer Zirconia: Unlike the zirconia used for fabricating ceramic crowns, the zirconia used to manufacture abutments is a multilayer type that undergoes multiple compression cycles to enhance its mechanical strength and biologic inertness.
  • Zirconia Customized Abutments are manufactured from circular zirconia pucks (discs), which are available in various shades to match the individual tooth and gingival color of each patient.
Full-contour zirconia discs used for manufacturing Zirconia Customized Abutments.
Image of the abutment post-CADCAM milling, prior to sintering.
Image of the finished zirconia customized abutment.

Step 5: Delivery of the Customized Abutment in the oral cavity:

Following fabrication, the Customized Abutment is seated onto the implant in the jawbone using a retaining screw.

The delivery protocol of a Customized Abutment in the oral cavity (simulation).

4. What types of customized anatomical abutments are currently available?

Currently, there are two types of customized anatomical abutments: those manufactured from pure titanium (Titanium Customized Abutments) and those manufactured from Zirconia ceramic (Zirconia Customized Abutments).

4.1 Titanium Customized Anatomical Abutments (Titanium Customized Abutments)

These are typically designed for posterior teeth. This type of abutment is more cost-effective than those manufactured from zirconia; however, its cost is significantly higher compared to stock abutments.

  • Regarding advantages: Customized titanium abutments fulfill 3 out of 4 criteria of an ideal abutment. Titanium customized abutments possess excellent mechanical strength and are individually designed according to the ideal gingival anatomy for each tooth, granting them the ability to reconstruct aesthetic gingival morphology in all 3 spatial dimensions: buccolingual contour, interdental papillae, and gingival margin.
  • Being made of titanium, they allow for the establishment of a mucosal attachment seal to the abutment surface (epithelial attachment), preventing oral bacteria from migrating apically.
Image of an ideal emergence profile for a posterior tooth (in a natural tooth, this is shaped by the anatomical crown).
Image of a titanium customized anatomical abutment: reconstructing a morphology identical to the anatomical emergence profile.
Image of a prefabricated stock abutment: failing to contour the gingiva to standard anatomy due to possessing only a single, uniform shape.

However, titanium abutments still present a drawback: owing to their dark metallic color, their use in the anterior region or in posterior areas with a thin gingival biotype can lead to a grayish show-through effect, resulting in unnatural discoloration of the gingiva and cervical region. To mitigate this disadvantage, an anodization (or electroplating) process is sometimes used to coat a thin layer of gold onto the titanium surface; nonetheless, this coating compromises the epithelial attachment to the titanium surface, resulting in the loss of the biologic seal between the abutment and gingiva, thereby facilitating the ingress of oral bacteria and the subsequent destruction of underlying structures.

A clinical case exhibiting gingival graying due to the use of a titanium abutment.

4.2 Zirconia Customized Anatomical Abutments (Zirconia Customized Abutments):

This represents the most perfect type of abutment, achieving all 4 out of 4 criteria for an ideal abutment. The combination of an accurately placed implant fixture within the jawbone, a Customized Zirconia abutment, and a 3D Pro Max Multilayer zirconia crown yields a flawless implant restoration for the patient.

  • Regarding advantages: Customized Zirconia abutments meet all 4 criteria of an ideal abutment: they possess exceptionally high mechanical strength and are customized to the ideal gingival anatomy, enabling full aesthetic reconstruction of the soft tissue.
  • Their shade spectrum is diverse, ranging from white mimicking dental enamel to pale yellow like a natural root, or light pink matching the gingiva; therefore, the use of Zirconia Customized abutments yields absolute chromatic aesthetics for the soft tissues.
  • Notably, the interface between Multilayer Zirconia and the gingiva facilitates an “epithelial attachment,” which is a significantly more robust and stable connection than the epithelial attachment to a titanium surface. Because of this distinct advantage, using Zirconia Customized abutments provides an excellent biological seal, ensuring that oral bacteria cannot invade apically to affect underlying structures.
A clinical case utilizing a zirconia customized anatomical abutment.
A clinical case utilizing a zirconia customized anatomical abutment.

The sole disadvantage of this abutment type, which is also the primary barrier preventing its widespread clinical application, is its HIGH COST. Investing in a workflow to implement Zirconia Customized abutments requires substantial expenditure of resources, encompassing both financial capital and specialized human resources. Furthermore, the multilayer zirconia blank materials are exceptionally expensive, costing considerably more than those used for standard ceramic crowns.

5. Why are Customized workflows not widely implemented in Vietnam?

Although the customized abutment is the final link driving implant dentistry toward perfection, overcoming all the historical shortcomings of the modality. Nevertheless, it remains almost entirely unadopted in Vietnam currently, or is applied only sporadically for select premium patients with high purchasing power, primarily due to the following 2 reasons:

5.1 Prohibitively high technological investment costs:

For the customized technology to be effective, the primary prerequisite is the highly precise 3D positioning of the implant fixture within the jawbone; achieving this requires advanced surgical placement technology. This implies that a dental center wishing to effectively apply customized abutments must possess an end-to-end technological ecosystem spanning from implant placement, dental impression/scanning, abutment design, through to final fabrication. This technological workflow is highly expensive and complex to operate.

An effective workflow for applying customized anatomical abutment (Customized Abutment) technology.

In addition, the raw material costs for pure titanium premilled blanks and Multilayer Zirconia are prohibitively high.

5.2 Extreme difficulty in training personnel to a proficiency level capable of applying the technology:

Operating this technological chain is not merely limited to the clinical team of doctors, as was the case with older methodologies. With this solution, the majority of procedures are simulated and pre-planned computationally via virtual reality platforms; inherently, the treatment planning and virtual mock-ups must be directly executed by clinicians with specialized training in the technology, but a significant portion of this workflow is also managed by digital technicians and laboratory technicians. The technological hurdle here comprises two issues: first, bridging the knowledge gap and aligning the treatment philosophy between the clinician and the laboratory technician. Second, and more importantly, ensuring that clinicians can fully comprehend and proficiently utilize these somewhat complex technologies; particularly for older practitioners, adapting to new technologies and innovations can often be a slow and arduous process.

All these factors culminate in one consequence: the final cost of implant treatment borne by the patient will be significantly higher than current standard pricing. This renders this technological solution unviable for widespread adoption in Vietnam.

>> See more about our team of doctors.

6. In summary, what are the advantages of a customized anatomical abutment?

The clinical application of customized anatomical abutments (Customized Abutments) provides patients with the following 2 primary benefits:

Perfect Aesthetics:

  • The Customized Abutment provides the patient with an implant restoration that perfectly mimics a natural tooth in terms of both white aesthetics (tooth morphology) and pink aesthetics (gingival tissue).
  • Teeth: It delivers a tooth with an identical morphology to a natural tooth because the Customized Abutment reconstructs the cervical area realistically, avoiding the narrow, short, and rounded emergence profile typical of older implant systems; furthermore, the ceramic crown is a 3D Promax Multilayer, offering an optical color match to natural dentition.
  • Gingiva: It successfully reconstructs the gingival tissue according to the patient’s exact 3D anatomy, restoring the buccolingual emergence profile, interdental papillae, and gingival margin; this results in a prosthesis that perfectly resembles a natural tooth, overcoming the issues of cervical concavity and loss of interdental papillae associated with traditional implant methods.
  • If a Zirconia Customized Abutment is utilized, the chromatic aesthetics of the gingiva are completely flawless, free from the dark metallic show-through at the cervical margin common with titanium abutments (which are currently used in 100% of standard cases in Vietnam).

Improved tactile sensation during mastication.

Re-establishment of the biological seal:

 which acts as a barrier to prevent oral bacteria from migrating apically and destroying the implant fixture.

Prevention of food impaction a highly prevalent issue with implant restorations:

Because the gingival tissue is reconstructed to its ideal anatomy—with full regeneration of the interdental papillae and emergence profile—it eliminates the formation of buccolingual “concavities” and interproximal “black triangles” frequently seen with older implant techniques.

Moreover, the clinical application of a Customized Abutment mandates the use of 1 of 4 implant placement technologies: 3D Guide, X-Guide robotic navigation, Safe Tech, or Guideline, ensuring that the implant fixture is positioned precisely within the jawbone across all three spatial dimensions. Accurate implant placement ultimately leads to superior masticatory function, greater stability, and enhanced long-term durability for the implant restoration.

Conclusion:

The implementation of Customized Abutments, integrated with 1 of 4 advanced implant placement technologies, provides the patient with an implant restoration that fulfills all 3 ideal criteria: excellent and stable mastication, beautiful white and pink aesthetics, and lifetime longevity.

FAQ – Customized Anatomical Abutment

What is a customized abutment in dental implants?

A customized abutment is an implant-supported connector that is individually designed based on the patient’s tooth and gingival anatomy. It connects the dental implant fixture to the final crown and helps create a natural-looking emergence profile for optimal aesthetics and function.

How is a customized abutment different from a stock abutment?

Customized abutments are digitally designed and manufactured specifically for each patient using CAD/CAM technology. In contrast, stock abutments are prefabricated with limited shapes and sizes, which may not perfectly match the patient’s natural tooth anatomy or gingival contour.

What materials are used to fabricate customized abutments?

Customized abutments are typically made from pure titanium or zirconia ceramic. Titanium offers excellent mechanical strength, while zirconia provides superior aesthetics and a more natural color that blends well with surrounding gum tissue.

What are the advantages of customized abutments in dental implant treatment?

Customized abutments improve implant restorations by providing better gingival contour, enhanced aesthetics, stronger biological sealing, and improved chewing stability. They also help prevent food impaction and support long-term implant success.

How are customized abutments manufactured?

Customized abutments are produced through a digital workflow that includes intraoral scanning, 3D design using dental software such as Exocad, and milling with advanced 5-axis CAD/CAM technology. The final abutment is then attached to the implant fixture inside the mouth.

Which is better: titanium or zirconia customized abutment?

Both materials have advantages. Titanium customized abutments provide excellent strength and durability, making them ideal for posterior teeth. Zirconia customized abutments offer superior aesthetics and better color matching, especially for anterior teeth or patients with thin gingival tissue.

Why are customized abutments not widely used in many dental clinics?

Customized abutments require advanced digital technology, specialized training, and expensive materials such as multilayer zirconia. Because of the high investment cost and complex workflow, many dental clinics still rely on traditional stock abutments.

Related reading for international patients

If you are comparing treatment options, you may also find these guides helpful: Types of implant abutments, Ideal Criteria for a Prosthetic Abutment on Dental Implants and Dental Implant Vietnam: The Complete Guide for International Patients Seeking Safe and Long-Lasting Treatment.